
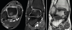
Figura 2. Imágenes de resonancia magnética (RM) en T2 (corte sagital y coronal). Imagen de la tomografía axial computarizada (TAC), corte coronal. Se observa una lesión osteocondral en la cúpula astragalina de 15 × 11 mm (diámetro anteroposterior y medial-lateral) según la RM y de 9 × 7 mm según la TAC.