Símbolo Fondo Science

Contacte para más información en el teléfono +34 629 829 605

Revista del Pie y Tobillo

Sociedad Española de Medicina y Cirugía del Pie y Tobillo

Cabecera Vol. 39. Núm. 1. Enero-Junio 2025
ISSN online: 2173-2949
ISSN impreso: 1697-2198
Vol. 39. Núm. 1. Enero-Junio 2025
10.24129/j.rpt.3901.fs2403007
Recibido: 2 de marzo de 2024
Aceptado: 4 de mayo de 2025
Notas clínicas

Turn down flap tendinoso como solución a desinserción aguda atraumática de tibial anterior

Turn down tendon flap as a solution to acute atraumatic disinsertion of the tibialis anterior

Rev Pie Tobillo. 2025;39(1):62-8

Resumen: 

Introducción: el tendón tibial anterior es el principal dorsiflexor del tobillo. Su rotura es poco frecuente y puede ocurrir secundaria a un trauma o espontáneamente. Existen diversas técnicas quirúrgicas para su reanclaje, sin que ninguna de ellas demuestre una clara superioridad sobre las demás. El presente caso describe una paciente tratada mediante la técnica de turn down flap de tendones tubulares descrita inicialmente en el tendón de Aquiles.

Material y método: se presenta el caso de un paciente con rotura espontánea de 45 días de evolución, con retracción del cabo tendinoso hasta la articulación tibiotalar. Durante el acto quirúrgico se constató una retracción grave, decidiéndose realizar una técnica de turn down flap que permitió un incremento considerable de la longitud tendinosa. Finalmente, el tendón es reinsertado con un tornillo de biotenodesis en el cuello del astrágalo. Posteriormente, fue inmovilizado con una férula suropédica durante 3 semanas, seguida del uso de una bota walker por 3 semanas y carga progresiva. En la quinta semana comenzó fisiokinesioterapia. En la octava semana se indicó la retirada progresiva de las muletas.

Resultados: el paciente recuperó un patrón de marcha eubásico, sin dolor o molestias con las actividades cotidianas, y una movilidad tibiotalar completa.

Conclusión: la técnica de turn down flap representa una alternativa versátil para el tratamiento de roturas tanto agudas como subagudas del tendón tibial anterior.

Abstract: 

Introduction: the anterior tibial tendon constitutes the primary dorsiflexor of the ankle. Its rupture is rare, it can occur secondary to trauma or spontaneously. There are multiple surgical techniques described, without a predominance of one over the others. This case describes a patient treated using the turn down flap technique of tubular tendons initially described in the Achilles tendon.

Material and method: we present the case of a patient with spontaneous rupture of 45 days of evolution, with retraction of the tendon end to the tibiotalar joint by magnetic resonance imaging. During the surgical procedure, severe tendon retraction was observed, and it was decided to perform a turn-down flap technique, obtaining a considerable increase in length. Finally, it is reinserted with a biotenodesis screw into the neck of the talus. Then patient was then immobilized with a suropedic cast for 3 weeks. After, a walker boot was indicated for 3 weeks and progressive loading. In the fifth week, physiokinesiotherapy began. In the eighth week, progressive withdrawal of the crutches was indicated.

Results: the patient recovered a normal gait pattern, without pain or discomfort during daily activities, and achieved full tibiotalar range of motion.

Conclusion: the turn down flap technique represents a versatile alternative for the treatment of both acute and sub-acute ruptures of the anterior tibial tendon.

Introducción

El tendón tibial anterior (TA) se origina en el tubérculo de Gerdy, en la región anteroexterna del tercio proximal de la tibia, y se inserta en la cara medial de la primera cuña y en la base del primer metatarsiano, atravesando la cara anterior de la tibia desde proximal a distal y de lateral a medial. Su función principal es ser el dorsiflexor primario del tobillo, siendo vital para un patrón de la marcha adecuado(1). La rotura del tendón TA constituye una lesión poco frecuente, con pocos casos documentados previamente en la literatura. Puede ocurrir tanto de manera traumática como espontánea(2). La mayoría de las roturas espontáneas ocurren en pacientes con predisposición clínica a una tendinopatía o debido a sobrecargas mecánicas. Los factores de riesgo incluyen diabetes mellitus, gota, artropatías inflamatorias o el uso de corticosteroides locales(3). Las roturas traumáticas suelen producirse como consecuencia de una flexión plantar y eversión rápida en un tobillo en dorsiflexión(4). Debido a su baja frecuencia, no existen pautas claras para una resolución individualizada(5). El tratamiento médico conservador generalmente implica el uso de refuerzos ortésicos para pie y tobillo. Por otro lado, en el tratamiento quirúrgico existen múltiples técnicas descritas, que van desde la reparación primaria de cabo a cabo o transferencias tendinosas hasta reconstrucciones con aloinjertos(6).

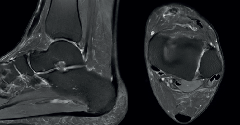
rpt.3901.fs2403007-figura1.png


Figura 1. Corte sagital y axial de resonancia magnética donde se observa una rotura completa del tendón tibial anterior con retracción del cabo tendinoso.

Este caso describe a una paciente que presentó una rotura espontánea secundaria a gota, tratada mediante la técnica de turn down flap de tendones tubulares inicialmente descrita para el tendón de Aquiles(7) y constituye un caso inédito en la bibliografía.

rpt.3901.fs2403007-figura2.png


Figura 2. Imagen quirúrgica donde se observa la rotura completa tendinosa. Nótese el grado de retracción en relación con la articulación tibiotalar.

Material y método

Presentamos el caso de una mujer de 64 años con antecedente de enfermedad por gota, que acude a consulta en la unidad de pie y tobillo, refiriendo dolor y debilidad en el tobillo izquierdo de 45 días de evolución, sin antecedente traumático. Refiere inicialmente relacionarlo con un proceso agudo de su patología de base pero, al persistir la sintomatología y no remitir con terapia antiinflamatoria, decide consultar.

rpt.3901.fs2403007-figura3.png


Figura 3. Imagen quirúrgica donde se observa el desdoblamiento tendinoso y la sutura longitudinal de cierre del restante tendón proximal. Se realizó previamente la marcación de un rectángulo de 0,5 cm de espesor y 8 cm de longitud.

Al examen físico, presentaba dolor e hiper­algesia en la base del primer metatarsiano y la cuña medial, debilidad en la dorsiflexión e inversión plantar, y ausencia de contorno del tendón TA. El aspecto neurovascular se encontraba conservado.

rpt.3901.fs2403007-figura4.png


Figura 4. Aspecto final de deslizamiento tendinoso de tipo turn down flap previo al reanclaje.

Los estudios radiográficos no arrojaron anormalidades, mientras que la resonancia magnética reveló una desinserción completa del tendón TA con retracción hasta la articulación tibiotalar (Figura 1). Se decide un tratamiento quirúrgico de reanclaje tendinoso primario.

rpt.3901.fs2403007-figura5.png


Figura 5. Imagen quirúrgica donde se observa el tendón reinsertado en el cuello del astrágalo mediante un tornillo de biotenodesis.

Técnica quirúrgica

Se realizó una incisión anteromedial, en eje con el tendón TA, constatando que el cabo distal tendinoso se encontraba proximal al retináculo extensor dorsal inferior. Se procedió entonces a la apertura de este y a la posterior resección del cabo distal degenerado. Al finalizar la exposición quirúrgica, el acortamiento tendinoso era de 9 cm, con pobre traslación a la tracción (Figura 2). Se decidió entonces realizar una técnica de turn down flap en el tercio medio del cabo tendinoso proximal (Figura 3), desdoblando así el tendón y obteniendo un aumento considerable de su longitud (Figura 4). Ante la imposibilidad de reanclar el tendón a la cuña medial, se realizó una fijación en el escafoides tarsiano con un tornillo de biotenodesis, que cedió a la tensión y sufrió un arrancamiento. Finalmente, se obtuvo el anclaje definitivo en el cuello del astrágalo con un tornillo de biotenodesis (Figura 5). Por último, se realizó un cierre por planos con especial atención en la reparación del retináculo extensor.

rpt.3901.fs2403007-figura6.png


Figura 6. Rango de movilidad en el control del segundo mes posquirúrgico.

Protocolo posquirúrgico

En el manejo posquirúrgico inmediato se realizó una férula de yeso suropédico a 90°, la cual se mantuvo durante 3 semanas con descarga completa. Luego, se pasó a una bota walker durante otras 3 semanas y carga progresiva los primeros 10 días hasta obtener carga completa. En la quinta semana posquirúrgica, se indicó el comienzo de fisiokinesioterapia, con ejercicios progresivos de recuperación del rango articular, fortalecimiento muscular con bandas elásticas, ejercicios propioceptivos y de reeducación de la marcha. En la octava semana se indicó la retirada progresiva de las muletas (Figura 6 y Vídeo 1).

rpt.3901.fs2403007-figura7.png


Figura 7. Rango de movilidad en el control del décimo mes posquirúrgico.

Resultados

La paciente recuperó un patrón de la marcha eubásico, sin claudicación ni alteraciones segmentarias, con simetría del paso y fase de apoyo completa (Vídeo 2). En relación con la movilidad tibiotalar, alcanzó 10° de dorsiflexión y una flexión plantar de 45° (Figura 7 y Vídeo 3). Al ser encuestada a los 12 meses de la cirugía sobre su nivel de satisfacción subjetiva global, la paciente manifestó estar muy satisfecha con la función general del pie operado y expresó que, de encontrarse en una situación similar, volvería a someterse al procedimiento. Además, refirió no sentir dolor o molestias asociadas a las actividades de la vida cotidiana. Si bien no reportó debilidad subjetiva, al realizar un test comparativo con dinamómetro se objetivó una pérdida de fuerza contra resistencia del 21% con respecto al miembro contralateral.

Discusión

El músculo TA es el principal dorsiflexor de la articulación del tobillo. Además, es inversor del pie en la articulación subastragalina y mediotarsiana, y contribuye al mantenimiento del arco longitudinal interno del pie(1). Las roturas atraumáticas del TA son poco comunes y suelen ser mal diagnosticadas, lo que puede resultar en un retraso en el tratamiento(2).

En su mayoría son producidas tras una caída o lesión torsional, en la que se genera una flexión plantar forzada con el tendón en contracción. El trauma se asocia a dolor agudo en la cara anterior del pie y el tobillo, acompañado de una sensación de chasquido. Inicialmente, suele haber incapacidad para cargar peso debido al dolor y sensación de debilidad del pie que mejora con el paso de las horas, aunque persiste la percepción de inestabilidad(8).

El tratamiento quirúrgico varía desde reparaciones y reanclajes primarios hasta transferencias tendinosas del extensor hallucis longus o extensor digitorum longus. Una serie de casos publicada por Kopp et al.(9) que incluyó 10 casos tratados quirúrgicamente mediante diversas técnicas encontró una mejoría significativa en la escala de la American Orthopaedic Foot and Ankle Society (AOFAS)(10) en comparación con el estado prequirúrgico, aunque no se observó una diferencia significativa entre las técnicas utilizadas.

Sung Yae et al.(11) describieron 5 casos de roturas crónicas tratadas mediante autoinjerto de tendón peroneo lateral largo, en los que el gap tendinoso no permitía una reparación primaria, con buenos resultados funcionales. Debido a la baja frecuencia de la patología, no existen estudios que describan las potenciales complicaciones de las distintas técnicas en orden de frecuencia, encontrando escasos reportes de dehiscencia de la herida quirúrgica, rerroturas, avulsiones del anclaje o infecciones(3,8,9,11).

En nuestro caso, utilizamos la técnica de turn down flap para tendones tubulares, inicialmente descrita para el tendón de Aquiles. Consideramos que no fueron tenidos en cuenta todos los factores que podrían haber influido en la planificación quirúrgica inicial, lo que llevó a las modificaciones intraoperatorias sucesivas. Creemos que tanto el tiempo de evolución como el tipo de lesión (traumática o atraumática) son factores cruciales para determinar el tratamiento que seguir. Por lo tanto, una reparación realizada después de 6 semanas de la rotura, en un paciente con una lesión atraumática y un tendón degenerado, resultó en un tendón con limitada movilidad a la tracción y un acortamiento grave. Aun así, la evolución posquirúrgica fue favorable, con recuperación completa del rango de movilidad y restablecimiento de un patrón de la marcha eubásico. Estos resultados sugieren que esta técnica podría considerarse una alternativa válida en futuras investigaciones.

Vídeo 1. Rango de movilidad en el control del segundo mes posquirúrgico.

Vídeo 2. Recuperación del paciente con un patrón de la marcha eubásico.

Vídeo 3. Rango de movilidad en el control del décimo mes posquirúrgico.

Conclusiones

La técnica de turn down flap representa una alternativa versátil para el tratamiento de roturas tanto agudas como subagudas del tendón TA, en las que no es posible un reanclaje primario directo, evitando así las transferencias tendinosas o la aumentación con aloinjertos.

Serán necesarios futuros estudios para evaluar la reproducibilidad de la técnica descrita y los índices de recuperación funcional, evaluando tanto la fuerza muscular y el rango de movilidad como el retorno a las actividades de la vida cotidiana.

Figuras

Figura 1. Corte sagital y axial de resonancia magnética donde se observa una rotura completa del tendón tibial anterior con retracción del cabo tendinoso.

Figura 2. Imagen quirúrgica donde se observa la rotura completa tendinosa. Nótese el grado de retracción en relación con la articulación tibiotalar.

Figura 3. Imagen quirúrgica donde se observa el desdoblamiento tendinoso y la sutura longitudinal de cierre del restante tendón proximal. Se realizó previamente la marcación de un rectángulo de 0,5 cm de espesor y 8 cm de longitud.

Figura 4. Aspecto final de deslizamiento tendinoso de tipo turn down flap previo al reanclaje.

Figura 5. Imagen quirúrgica donde se observa el tendón reinsertado en el cuello del astrágalo mediante un tornillo de biotenodesis.

Figura 6. Rango de movilidad en el control del segundo mes posquirúrgico.

Figura 7. Rango de movilidad en el control del décimo mes posquirúrgico.

Cita bibliográfica

Rivero AV, Hortelano Marco S, Navarro Mont R, Pérez Pérez MD, Elizarraras Adrete A, Guillén García P <em>Turn down flap</em> tendinoso como solución a desinserción aguda atraumática de tibial anterior. Rev Pie Tobillo. 2025;39(1):62-8. doi: 10.24129/j.rpt.3901.fs2403007

Responsabilidades éticas

Protección de personas y animales. Los autores declaran que para esta investigación no se han realizado experimentos en seres humanos ni en animales.

Confidencialidad de los datos. Los autores declaran que han seguido los protocolos de su centro de trabajo sobre la publicación de datos de pacientes.

Derecho a la privacidad y consentimiento informado. Los autores declaran que en este artículo no aparecen datos de pacientes.

Financiación. Los autores declaran que este trabajo no ha sido financiado.

Conflicto de intereses. Los autores declaran no tener ningún conflicto de interés.

Referencias bibliográficas

  • 1
    Waizy H, Bouillon B, Stukenborg-Colsman C, Yao D, Ettinger S, Claassen L, et al. [Rupture of the tendon of the tibialis anterior muscle : Etiology, clinical symptoms and treatment]. Unfallchirurg. 2017;120(12):1015-19. German.
  • 2
    Rajeev A, McDonald M, Newby M, Patterson P. Traumatic avulsion of tibialis anterior following an industrial accident: A case report. Int J Surg Case Rep. 2015;14:125-8.
  • 3
    Siang DK, Thong, Pitarini A, Koo K. Allograft reconstruction of spontaneous tibialis anterior tendon rupture in a diabetic patient. J Orthop Case Rep. 2019;9(3):57.
  • 4
    Burton A, Aydogan U. Repair of chronic tibialis anterior tendon rupture with a major defect using gracilis allograft. Foot Ankle Spec. 2016;9(4):345-50.
  • 5
    Sammarco VJ, Sammarco GJ, Henning C, Chaim S. Surgical repair of acute and chronic tibialis anterior tendon ruptures. J Bone Joint Surg Am. 2009;91(2):325-32.
  • 6
    Ellington JK, McCormick J, Marion C, Cohen BE, Anderson RB, Davis WH, Jones CP. Surgical outcome following tibialis anterior tendon repair. Foot Ankle Int. 2010;31(5):412-7.
  • 7
    Park YS, Sung KS. Surgical reconstruction of chronic Achilles tendon ruptures using various methods. Orthopedics. 2012;35(2):e213-e218.
  • 8
    Jerome JTJ, Varghese M, Sankaran B, Thomas S, Thirumagal SK. Tibialis anterior tendon rupture in gout—case report and literature review. Foot Ankle Surg. 2008;14(3):166-9.
  • 9
    Kopp FJ, Backus S, Deland JT, O'Malley MJ. Anterior tibial tendon rupture: results of operative treatment. Foot Ankle Int. 2007;28(10):1045-7.
  • 10
    Malviya A, Makwana N, Laing P. Correlation of the AOFAS scores with a generic health QUALY score in foot and ankle surgery. Foot Ankle Int. 2007;28(4):494-8
  • 11
    Kim SJ, Park YU, Ahn JT, Kim HN. Reconstruction of chronic tibialis anterior tendon ruptures using a free anterior half of a peroneus longus tendon autograft: A technical note. J Orthop Surg. 2022;30(1):10225536221083044.

Descargar artículo: 

Icono PDF rpt.3901.fs2403007-turn-down-flap-tendinoso-como-solucion.pdf

Licencia: 

Este contenido es de acceso abierto (Open-Access) y se ha distribuido bajo los términos de la licencia Creative Commons CC BY-NC-ND (Reconocimiento-NoComercial-SinObraDerivada 4.0 Internacional) que permite usar, distribuir y reproducir en cualquier medio siempre que se citen a los autores y no se utilice para fines comerciales ni para hacer obras derivadas.

Comparte este contenido

En esta edición